How Effective Is Invisalign?
Invisalign is a massively effective treatment for those looking to improve their smile. Invisalign can correct a range of concerns, including overbite, underbite, crossbite, gap teeth, open bite and crowded teeth.
What Is The Difference Between Invisalign And Traditional Braces?
Invisalign uses clear aligners to straighten your teeth, whereas traditional braces use metal wires and brackets. Not only is Invisalign Go more comfortable, it is also more aesthetically pleasing for those who are image-conscious. They also require fewer dental visits compared to traditional braces.
How Long Does Invisalign Treatment Take?
As each patient is different, treatment time varies depending on your particular situation. Your Invisalign treatment plan is customised for you and your teeth. Depending on your specific case, you could complete your treatment in as little as six months and you’ll start seeing results in a matter of weeks.
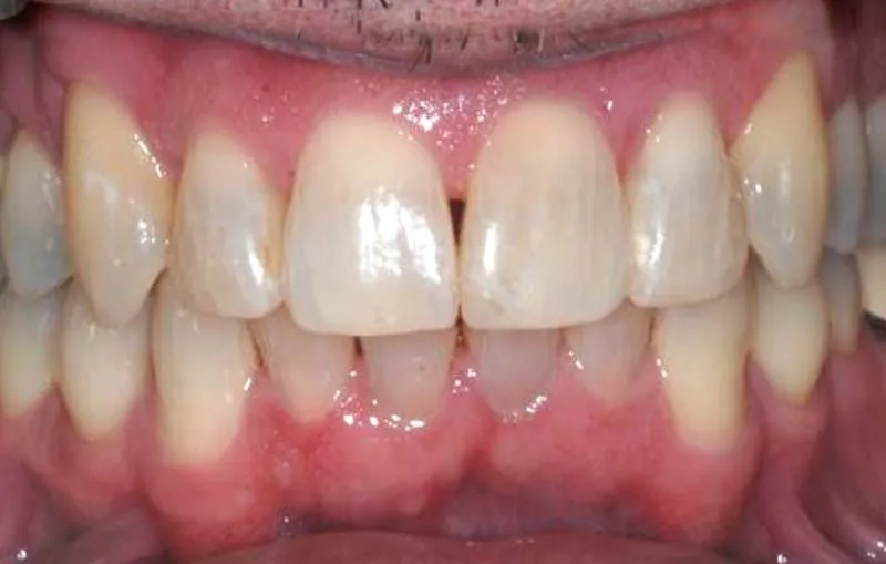
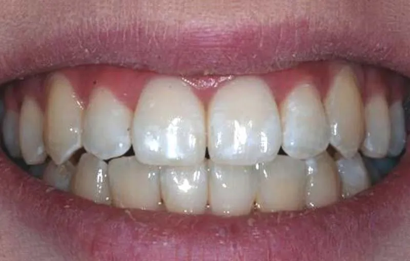
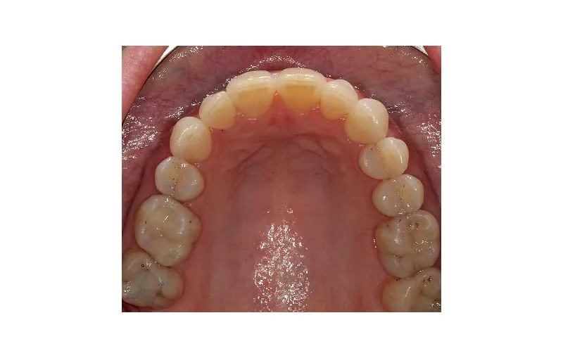
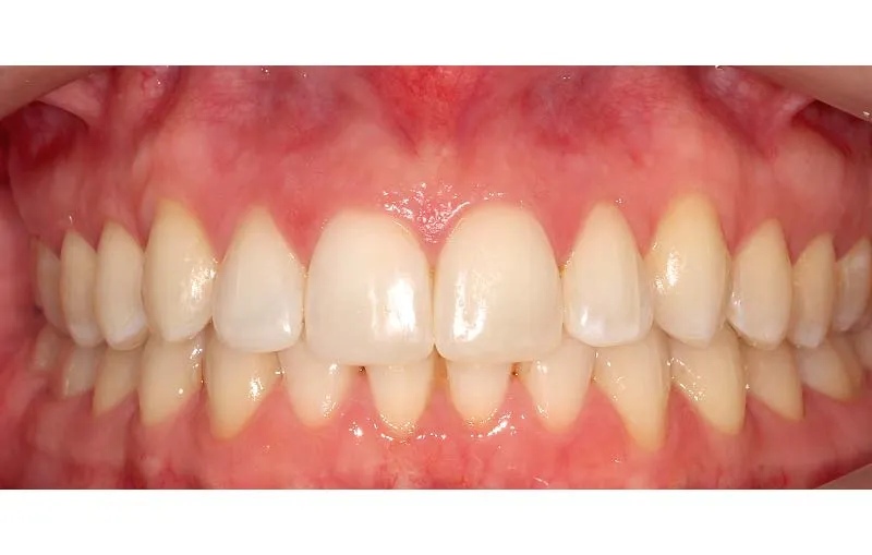
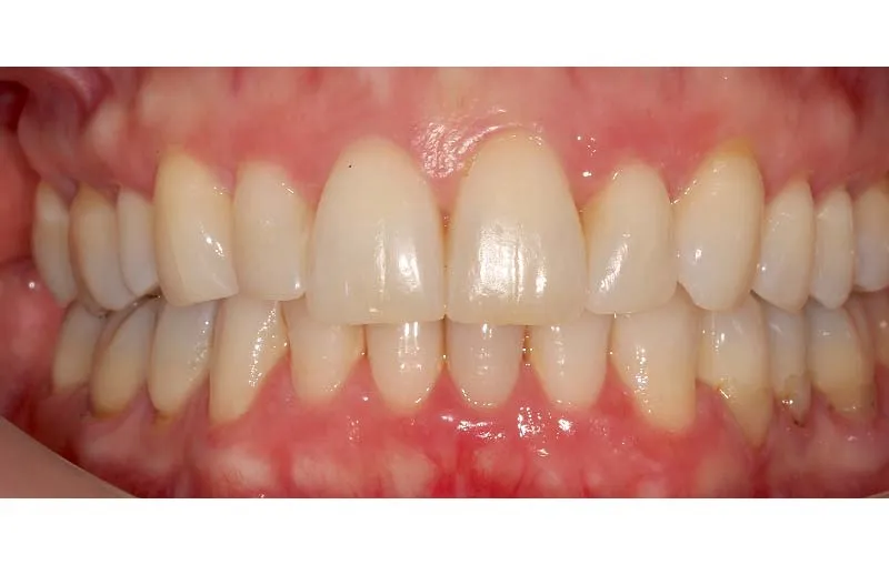
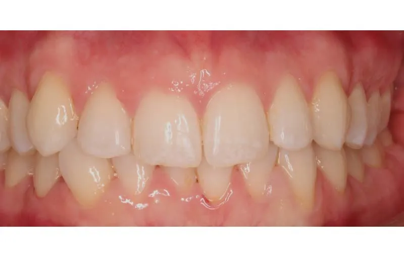
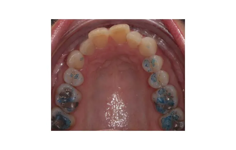
Make an EnquiryBefore & After
Invisalign Frequently Asked Questions
We have answered some of your frequently asked questions about Invisalign below:
Most people will feel a small bit of discomfort in the first few days of each new set of Invisalign aligners. This is good because you want to feel a bit of tightness from the aligners, as this means the aligners are doing what they are supposed to do: move your teeth to the desired position.
It is recommended that patients wear their Invisalign Go clear aligners for at least 20-22 hours a day. The aligners should only be removed for eating, brushing or flossing purposes.
Of course! The advantage of removable clear aligners is that it works around your lifestyle rather than disrupting it. As long as you remove your Invisalign aligners before you eat and drink, you can continue to enjoy all the good things in life. However, to prevent bad breath and poor hygiene, it is advisable to brush and floss your teeth after every meal before reinserting your clear aligners.
This can vary depending on your case. Usually, Invisalign patients only need to be seen roughly once every 6 to 8 weeks. These appointments are to help track your progress and to ensure that your treatment is going according to plan.
In the beginning of your Invisalign treatment, you might experience some difficulties pronouncing “s” and “z”. This typically only lasts a few days before you get used to the aligners
After previous orthodontic treatments, you may find that your teeth have relapsed over time after the removal of your braces. In this case, Invisalign is the perfect solution for you to realign your teeth without the need to put traditional metal braces back on.
Can I Still Choose Invisalign Even After I’ve Had Treatment Done Using Traditional Braces?
After previous orthodontic treatments, you may find that your teeth have relapsed over time after the removal of your braces. In this case, Invisalign is the perfect solution for you to realign your teeth without the need to put traditional metal braces back on.
Make an EnquiryInvisalign Practices
The following Dental Care Ireland practices currently offer Invisalign services:
- Dental Care Ireland Ashbourne
(01) 835 0344
Make an Enquiry
Book Online - Dental Care Ireland Ballincollig
(021) 487 5566
Make an Enquiry - Beechwood Dental Ranelagh
(01) 496 75 26
Make an Enquiry
Book Online - Dental Care Ireland Cabinteely
(01) 268 9566
Make an Enquiry
Book Online - Dental Care Ireland Callan Dental
(056) 775 5577
Make an Enquiry
Book Online - Dental Care Ireland Carlow
(059) 914 1245
Make an Enquiry
Book Online - Dental Care Ireland Castlebar
(094) 902 2317
Make an Enquiry
Book Online - Dental Care Ireland Cork City
(021) 450 1306
Make an Enquiry
Book Online - Dental Care Ireland Douglas
(021) 489 4400
Make an Enquiry
Book Online - Dental Care Ireland Dundrum
(01) 298 1133
Make an Enquiry
Book Online - Dental Care Ireland Mayfield
(021) 4502139
Make an Enquiry
Book Online - Dental Care Ireland Molesworth
(01) 661 5544
Make an Enquiry
Book Online - Dental Care Ireland Navan
(046) 902 1372
Make an Enquiry
Book Online - Northumberland Dental Care
(01) 668 8441
Make an Enquiry
Book Online - Dental Care Ireland Sligo
(071) 917 0770
Make an Enquiry
Book Online - Dental Care Ireland Westport
(098) 28753
Make an Enquiry
Book Online













