What can dental bonding help with?
Dental bonding is useful if you are experiencing a minor issue with one or several of your teeth, such as minor cracks, chips, gaps or discolouration. Bonding does not alter the structure of your teeth, but merely “fills in” where needed. Composite bonding is a very popular treatment for patients who wish to aesthetically improve their smile.
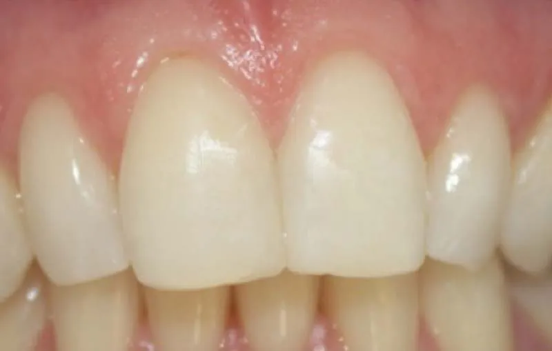
The difference between composite bonding and veneers
Usually, composite bonding only partially covers the tooth, whereas composite veneers cover the entire outer tooth surface.
Make an EnquiryBefore & After
Composite Bonding FAQs
Composite bonding normally lasts for many years. However, it is important to bear in mind that composite bonding is not as durable as other treatments like crowns or veneers, and as such they may need to be replaced in the future.
We will be able to discuss your options with you so you can choose the best treatment for your own specific issue.
No, composite bonding will not damage your teeth. The beauty of composite bonding is that it does not replace any of your natural teeth, it simply bonds to it. For this reason, none of your natural teeth will need to be filled down to allow for composite bonding.
Similar to crowns or veneers, composite bonding cannot be whitened. For this reason, it is advised that you undergo whitening treatment prior to composite bonding so that you can match your bonding to your new desired tooth shade.
No, patients generally do not experience pain or discomfort while undergoing composite bonding treatment. You may, however, experience some level of sensitivity after treatment, but this will return to normal shortly.
Find a practice near your
Find your most convenient Dental Care Ireland practice.



