Teeth X-Rays In Knocklyon
Before your treatment, your dentist may require a large, full mouth dental x-ray called an Orthopantomogram or OPG. It is important that you inform your dentist if you are pregnant before you have any x-rays taken.
There are two main categories when it comes to dental x-rays; intraoral x-rays and extraoral x-rays. An intraoral x-ray is a small x-ray taken inside the mouth. An extraoral x-ray is a bigger x-ray which is taken outside the mouth but gives the dentist more information on wisdom teeth, bone levels, etc.
Intraoral Radiographs
Intraoral x-rays are the most common type of x-rays as they give a high level of detail. These x-rays can allow dentists to:
- Find cavities and decay
- Look at the roots of a tooth
- Check the health of the bone surrounding teeth
- See the progress of developing teeth
Intraoral X-rays
Depending on what you’re treatment plan is, your dentist could choose from a variety of intraoral x-rays such as:

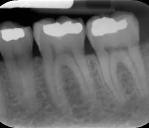
A bite-wing x-ray highlights the crowns of the back teeth. Taken on either one or two sides of the mouth, this x-ray shows the upper and lower molars and bicuspids. In order for these x-rays to be effective, patients are asked to bite down on a wing shaped device, hence the name.

A periapical x-ray looks similar to a bite-wing x-ray. However, it shows the entire length of each tooth, from crown to root.

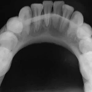
An occlusal x-ray is larger than a usual x-ray. This kind of x-ray highlights tooth development and placement of teeth in children and shows the full arch in either the upper or lower jaw.
Extraoral Radiographs
Extraoral x-rays are made with the film outside the mouth. This form of x-ray is considered the “big picture” x-ray. They show teeth, but they also provide information on the jaw and skull. Extraoral x-rays can be used to:
- Keep track of growth and development of teeth
- Look at the status of impacted teeth
- Examine the relationships between teeth and jaws
- Examine the bones of the face
Extraoral X-rays
Depending on what you’re treatment plan is, your dentist could choose from a variety of extraoral x-rays such as:

This type of imaging looks at interior structures of the mouth and jaw in 3-D. This type of imaging is used to find problems in the bones of the face such as cysts, tumors, and fractures. CT scans are also useful in implant work and more complex root canal treatments.

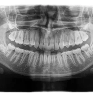
An Orthopantomogram x-ray (OPG x-ray) is a wide-view, panoramic x-ray of the patients upper and law jaw, and associated dentition from root to crown, in a single image – which is not possible with periapical or Bite-wing x-rays.
A digital OPG x-ray is especially helpful in planning of orthodontic dental brace treatment, as it provides a full overview of the teeth, and highlights non-erupted and/or impacted teeth.
To find out more about teeth x-rays in Knocklyon, please contact us on (01) 493 6909 or knocklyon@dentalcareireland.ie.


